Dental Implants
Missing teeth in your smile? Let’s fix that! We create implants for our patients that allow them to feel confident smiling again.

Dental Implants in Garden City, KS
At Randall K McVey, DMD, PA, we’re proud to offer state-of-the-art dental implant solutions for patients in Garden City and surrounding areas. Dr. Randall McVey combines advanced training with years of experience to provide exceptional implant care that has earned outstanding reviews from our patients. Our practice is committed to restoring both function and beauty to your smile with dental implants that look, feel, and perform like natural teeth.
Dental implants represent the gold standard in tooth replacement, offering a permanent solution that prevents bone loss while providing unmatched stability and natural appearance. Unlike temporary alternatives that require frequent replacement, implants are designed to last a lifetime with proper care.
Types of Dental Implants: Single-Tooth
Single-tooth implants are ideal for replacing individual missing teeth without affecting adjacent healthy teeth. This solution consists of three components:
- Titanium Implant Post: This surgically placed component serves as an artificial tooth root, providing a strong foundation and stimulating bone preservation
- Abutment: A connector piece that attaches to the implant post
- Custom Crown: The visible portion is designed to match your natural teeth in color, shape, and size
The result is a replacement tooth that functions and appears exactly like your natural teeth, allowing you to eat, speak, and smile with complete confidence.


Are Implants Safe?
Dental implants have an exceptional safety record backed by decades of clinical research and millions of successful procedures worldwide. Made from biocompatible materials like titanium, implants are well-tolerated by the body and actually integrate with your natural bone through a process called osseointegration.
Dr. McVey utilizes advanced diagnostic imaging and precise surgical techniques to ensure optimal implant placement. Our comprehensive approach includes a thorough evaluation of your oral health, bone density, and medical history to determine if implants are right for you.
With success rates exceeding 95%, dental implants are among the most predictable and safest procedures in dentistry when performed by an experienced provider like Dr. McVey.
Dental Implants Pros and Cons
Advantages
Considerations
Are Implants Worth It?
When considering the lifetime value of dental implants compared to alternatives, most patients find implants to be the superior investment in both oral health and quality of life. While traditional options like dentures or bridges may seem more affordable initially, they typically require replacement every 5-10 years, along with ongoing adjustments and repairs.
Implants eliminate these recurring costs while preventing bone loss that leads to facial structure changes and additional dental problems. Our patients consistently report that the confidence, comfort, and freedom provided by their implants far outweigh the initial investment.
Dental Implant Process
Your journey to a restored smile typically follows these steps:
- Comprehensive Evaluation: Dr. McVey will assess your oral health, bone structure, and medical history
- Customized Treatment Planning: We’ll create a detailed plan tailored to your specific needs
- Implant Placement: The titanium post is surgically placed in your jawbone
- Healing Period: Typically 3-6 months as the implant integrates with your bone
- Restoration Placement: Your custom crown is attached, completing your new tooth
Throughout this process, our team provides attentive care and clear communication to ensure your comfort and confidence.
Why choose Implants?
Dental Implant FAQ
Get the Real Results You’ve Been Looking For


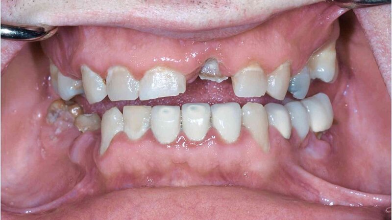
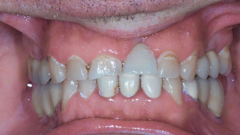
Example 1


Getting Implants
What our patients have to say
Best Dental team in Kansas hands down if you want your dental health and experience to be the best, go to Dr. Mcvey and his team! Very nice, professional, knowledgeable and friendly! Comfortable and smooth experience thank you doctor!
Being someone who has always disliked dentist visits, Dr McVeys Office has really changed that. Service is always great and staff is super nice and always makes sure I’m comfortable.
Very nice and friendly. He was so gentle with the lidocaine numbing my mouth . Got seen right away. They offer payment plans which is very helpful. Definitely would recommend going to see him
I had some extensive dental work done & the dr & staff was nice & caring. Communication was excellent & Dr McVey did a great job! I would definitely recommend him.
Love the people. Very caring. Always ask what concerns I have with any dental work. My dental hygenist always has a warm smile on her face. Makes me feel welcomed. Let’s me know what’s about to take place before performing her duties. I’d recommend anyone to Dr. McVey that needs dental work done. They are on the top of my list.🤗💯👍🏾 …
I drive an extra 60 miles past numerous other dentist to go to the best . Dr Mcvey and his staff are second to none , highly recommend
The folks here are wonderful. They are so polite and very caring. We have been going here for over 10 years.
Pricing and Insurance
We believe that quality periodontic care should be accessible to everyone. While dental implants represent an investment in your long-term health and quality of life, we offer several options to make this treatment affordable:
- Flexible financing plans with low monthly payments
- Insurance benefit maximization
- Phased treatment approaches to distribute costs
- Special financing for qualified patients=
Remember that when comparing costs, consider the lifetime value of implants versus the ongoing expenses of replacing temporary solutions multiple times.
Call Us Today to Schedule an Appointment
Take the first step toward a complete, confident smile with dental implants. Contact Randall K McVey, DMD, PA at 620-275-9157 to schedule your consultation with Dr. McVey.
During your visit, we’ll discuss your specific needs, answer all your questions, and create a customized treatment plan to restore your smile with the best tooth replacement option available today.
