Teeth Whitening
Want a brighter, more radiant smile? Our professional Zoom whitening delivers dramatic results in just one visit, or choose our custom take-home kits for convenient whitening on your schedule. Say goodbye to years of stains and hello to confidence.

Teeth Whitening in Garden City, KS
A bright, white smile can transform your appearance and boost your confidence. At Randall K McVey, DMD, PA, we offer professional teeth whitening services that deliver dramatic results safely and effectively. Dr. Randall McVey and our skilled team provide customized whitening solutions to help patients throughout Garden City achieve their desired level of brightness.
Located near the heart of Garden City, our practice combines advanced whitening technology with personalized care to ensure you receive treatment tailored to your specific needs and goals. Our professional whitening treatments are designed to remove years of stains while protecting your dental health.
Why Do Teeth Get Discolored?
Understanding the causes of tooth discoloration can help you maintain your whitening results longer. Common factors include:
- Food and Beverages: Coffee, tea, red wine, and certain fruits can stain teeth over time
- Tobacco Use: Smoking or chewing tobacco leaves stubborn yellow or brown stains
- Age-Related Changes: Enamel naturally thins with age, revealing the yellowish dentin beneath
- Medications: Certain antibiotics, antihistamines, and high blood pressure medications can affect tooth color
- Poor Oral Hygiene: Inadequate brushing and flossing allow stain-causing particles to accumulate
- Genetics: Some people naturally have more yellow or gray tooth enamel than others
By identifying your specific causes of discoloration, Dr. McVey can recommend the most effective whitening approach for your situation.


Is Teeth Whitening Safe?
When performed by a cosmetic dentist like Dr. McVey, professional teeth whitening is extremely safe. Our treatments use carefully formulated products with controlled concentrations of whitening agents to minimize sensitivity while maximizing results.
Before recommending any whitening treatment, we perform a comprehensive dental exam to ensure your teeth and gums are healthy. Unlike over-the-counter products that use a one-size-fits-all approach, our professional treatments are customized to your specific oral health needs and desired outcome.
Rest assured that all whitening products and techniques we use have been thoroughly tested and approved for dental use, providing peace of mind along with your brighter smile.
Teeth Whitening Options
We offer several whitening solutions to accommodate different preferences, budgets, and lifestyle needs:
Professional Teeth Whitening
Our in-office Zoom whitening treatment delivers the fastest, most dramatic results in just one visit. This popular option brightens teeth by up to eight shades in approximately one hour. The procedure includes:
- Protection of gums and soft tissues
- Application of professional-strength whitening gel
- Activation with specialized light technology
- Multiple treatment cycles for optimal results
This is the perfect solution for patients seeking immediate results for an upcoming special event or those who prefer the convenience of a single appointment.
Take-Home Whitening Kits
Our professional take-home kits offer excellent results with the flexibility to whiten at your convenience. Unlike store-bought strips or generic trays, our kits include:
- Custom-fitted whitening trays created from impressions of your teeth
- Professional-grade whitening gel in appropriate strengths
- Personalized instructions for optimal results
- Regular monitoring by our team
These kits deliver significant whitening over 1-2 weeks while allowing you to control the process. Many patients achieve results comparable to in-office treatment but at a more affordable price point.
DIY Teeth Whitening Remedies (and Why to Avoid Them)
While DIY whitening products like strips, pens, and over-the-counter kits may seem convenient, they often deliver disappointing results and can potentially harm your teeth. Common issues include:
- Uneven whitening due to generic, ill-fitting application methods
- Temporary results that fade quickly
- Increased sensitivity from improper use
- Damage to enamel from abrasive ingredients
- Gum irritation from uncontrolled application
Home remedies like charcoal, baking soda, or fruit acids can be even more harmful, wearing away enamel and causing long-term damage. Professional whitening is safer, more effective, and often more economical in the long run.
Teeth Whitening FAQ
What our patients have to say
Best Dental team in Kansas hands down if you want your dental health and experience to be the best, go to Dr. Mcvey and his team! Very nice, professional, knowledgeable and friendly! Comfortable and smooth experience thank you doctor!
Being someone who has always disliked dentist visits, Dr McVeys Office has really changed that. Service is always great and staff is super nice and always makes sure Iโm comfortable.
Very nice and friendly. He was so gentle with the lidocaine numbing my mouth . Got seen right away. They offer payment plans which is very helpful. Definitely would recommend going to see him
I had some extensive dental work done & the dr & staff was nice & caring. Communication was excellent & Dr McVey did a great job! I would definitely recommend him.
Love the people. Very caring. Always ask what concerns I have with any dental work. My dental hygenist always has a warm smile on her face. Makes me feel welcomed. Letโs me know whatโs about to take place before performing her duties. Iโd recommend anyone to Dr. McVey that needs dental work done. They are on the top of my list.๐ค๐ฏ๐๐พ โฆ
I drive an extra 60 miles past numerous other dentist to go to the best . Dr Mcvey and his staff are second to none , highly recommend
The folks here are wonderful. They are so polite and very caring. We have been going here for over 10 years.
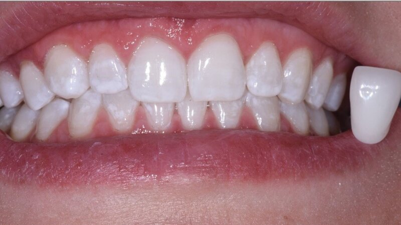
Get the Real Results You’ve Been Looking For


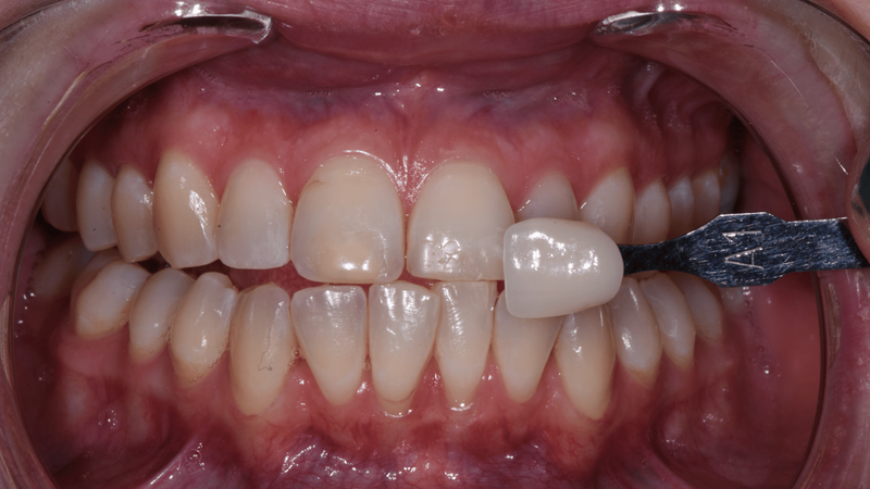
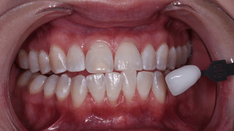
Getting The Whitening Treatment


Getting The Whitening Treatment


Getting The Whitening Treatment
Pricing and Insurance
We strive to make professional whitening affordable for all our patients. Our various options accommodate different budgets, from comprehensive in-office treatments to economical take-home systems.
Most dental insurance plans consider whitening cosmetic and don’t provide coverage, but we offer flexible payment options to help fit this investment into your budget. During your consultation, we’ll discuss all costs and payment alternatives.
Get Started by Making an Appointment Today
Ready to achieve the brighter, more confident smile you deserve? Contact Randall K McVey, DMD, PA at 620-275-9157 to schedule your teeth whitening consultation.
Dr. McVey will evaluate your current tooth color, discuss your whitening goals, and recommend the best professional whitening approach for your unique needs. Experience the dramatic difference that professional whitening can make for your smile and confidence!
